Malattie dovute a protozoi
I protozoi sono microrganismi che possono raggiungere dimensioni abbastanza grosse (alcuni si possono vedere ad occhio nudo). I protozoi presentano strutture interne particolarmente complicate paragonabili, dal punto di vista funzionale, agli organi dei metazoi e dette perciò organiti (od organelli od organuli), le quali provvedono al sostegno (formazioni scheletriche), alla riproduzione, alla nutrizione e al movimento delle cellule.
Il corpo dei protozoi è formato da una massa indivisa di protoplasma limitata da una membrana che presiede agli scambi di materiale con l’ambiente esterno. Nell’interno vi sono uno o più nuclei, piccole gocce di acqua, dette vacuoli alimentari, che contengono le sostanze nutritive nei vari stadi di digestione e in alcune specie, come ad es. nel paramecio, corpuscoli chiari detti vacuoli pulsanti che, contraendosi ritmicamente, regolano la quantità di liquido presente nel corpo.
Il più comune processo di riproduzione è la scissione: il piccolo organismo, raggiunto il suo completo sviluppo, si suddivide in due cellule, ognuna delle quali contiene metà del patrimonio genetico ereditario. Tra i protozoi sono presenti anche le altre due forme di riproduzione agamica: la gemmazione, quasi esclusiva degli acineti, e la sporulazione, diffusa soprattutto tra gli sporozoi. La riproduzione sessuale (coniugazione), che si osserva nei ciliati, mira a costruire nei due coniugati un nuovo e più vitale apparato nucleare.
All’assunzione del cibo, che comprende organismi interi o frammenti, dai batteri alle alghe, dai lieviti a particelle di legno, da altri protozoi a piccoli metazoi, provvedono parti diverse della cellula, come il citostoma dei ciliati, gli pseudopodi delle amebe o i tentacoli degli acineti: tuttavia numerosi protozoi a vita libera (es. molti flagellati) e la maggior parte dei protozoi parassiti assorbono il materiale nutritivo attraverso la membrana esterna del loro corpo e in tal caso possono utilizzare solo materiale in soluzione.
Ciglia, flagelli, membrane ondulanti e pseudopodi sono gli organi locomotori dei protozoi: il loro movimento sembra coordinato da un sistema fibrillare neuromotore (neuronema), per ora è stato messo in evidenza solo in poche specie, soprattutto tra i ciliati e le gregarine. Il tipo dei protozoi comprende le classi dei flagellati o mastigofori, sarcodici o sarcodini, sporozoi, ciliati o infusori, acineti o suttori (questi ultimi nelle classificazioni più recenti sono considerati una sottoclasse di ciliati).
Acquatici, i protozoi sono ampiamente diffusi in acque dolci e salate, vivono inoltre nel terreno umido, come parassiti di animali e vegetali o simbionti con altri organismi. Per periodi più o meno lunghi possono sopravvivere alla mancanza di acqua con incistamento o formazione di spore.
In acquario vi sono diversi tipi di parassiti unicellulari che possono essere più o meno difficili da combattere.
Essi si differenziano per la loro capacità di movimento che può essere ottenuto o con un flagello o con una ciglia, ma ci sono alcuni parassiti che si lasciano portare anche dalla corrente e non sono in grado di muoversi, altri ancora si incistano nel cibo.
Tra le malattie causate da protozoi che colpiscono i pesci d’acquario ricordiamo: Brooklynella hostilis, Trichodina, Uronema marinum, Cryptocarion irritans e Oodinium. Gli ultimi due sono causa della stragrande maggioranza delle malattie che si presentano in acquario, e mietono un infinità di vittime.
Oodinium
Note
E’ causata dal parassita unicellulare Oodinium ocellatum che è un dinoflagellato, essi si agganciano o con il rizoma o con l’uncino nella mucosa del pesce, è questo loro agganciarsi alla mucosa che crea il maggior numero di danni al pesce, è come se usassero i flagelli a mo’ di radici che staccano dei pezzi di cellula per poi nutrirsi. Al microscopio appaiono come dei piccoli puntini neri di forma conica. Con l’uso del microscopio con ingrandimento x100 o meglio x200 li si possono individuare sulla pelle dei pesci.
![]() | Parassita visto al microscopio |
Trasmissione
La trasmissione avviene attraverso le cellule che nascono da una infezione presente in un pesce: da ogni cellula nascono una serie di cellule figlie che poi nuotano nell’acqua alla ricerca di un altro organismo da infettare.
Sintomi
La sua individuazione dipende molto dall’angolo di incidenza della luce sulla pelle del pesce e dall’angolo di osservazione del pesce stesso: osservando il pesce dal davanti in senso longitudinale in modo tale da essere in controluce il pesce deve apparire opaco. La prima parte del corpo che viene colpita sono le branchie, solo in seguito la malattia passa anche alla pelle e alle pinne e a volte all’intestino.
Si individuano dei puntini bianchi molto piccoli, i pesci sembrano cosparsi di zucchero a velo. I danni causati da questi parassiti indeboliscono la mucosa che è così esposta ad altri attacchi da parte di altri parassiti.
I pesci si ritrovano così ad avere problemi respiratori, sono in continuo movimento e non si fermano un attimo, strofinano il loro corpo su tutto ciò che sporge nell’acquario, cercano disperatamente aria e a volte stazionano sul fondo.
![]() | I puntini bianchi nel pesce che sono le varie cellule malate. |
![]() | Pterois colpito. |
Cure
Per combatterli è importante conoscere bene il vitale del parassita: dopo alcuni giorni ospite in un pesce la cellula si divide e forma tanti cellule figlie che si trasformano in dinospore che poi nuotano nell’acqua, se dopo 24 ore non hanno trovato un ospite le cellule muoiono, si intuisce subito allora l’importanza di uccidere queste spore, cure preventive possono essere fatte con il rame, ma attenzione che è dannosissimo o letale per gli invertebrati.
La cellula nello stadio fisso non presenta flagello, solo i seguito quando la cellula sarà ben nutrita si staccherà dal pesce e si poserà sul fondo e come detto qui si dividerà in cellule figlie.
La soluzione di rame coadiuvata da un abbassamento della salinità graduale verso valori inferiori a 1.015-1.016 g/ml dà sufficienti garanzie di sicurezza: i parassiti hanno poche possibilità di sopravvivere.
Soluzione di rame
Dose: soluzione base 4 g per litro di acqua distillata alla quale viene aggiunto 0.25 g di acido citrico
Le dosi sono 12,5 ml per 10 litri di acqua.
Con test dell’acqua del rame non scendere sotto i 0,12 e non superare i 0,18 mg/l
Durata: se dopo una settimana se i pesci risultano nervosi è meglio provvedere ad un cambio dell’acqua e ridurre le dosi. Comunque non procedere oltre i 10 giorni
Bagno in acqua dolce
In casi non avanzati si possono anche trattare i pesci con un bagno in acqua dolce.
Procedura da seguire: preparare vasca con acqua dolce magari aggiungendo Methylene blu, prima si incomincia più si è sicuri che la cura possa avere effetto. Importante è che l’acqua dolce abbia lo stesso pH dell’acqua dell’acquario.
Durata: il bagno non deve durare più di 5 minuti.
Nel caso l’infezione sia scoperta tardi è consigliabile procedere anche a una cura contemporanea antibatterica con Linco-Spectin, furaltadone e nifurpirinol.
Un processo senza l’uso di medicinali è :
Processo termico
Procedura da seguire: aumento della temperatura di 1°C all’ora con l’obbiettivo di creare un ambiente in cui gli agenti patogeni non siano più in grado di sopravvivere, nel nostro caso è meglio raggiungere i 33-34°C per 24-36 ore , ma attenzione che non tutti gli organismi sono in grado di reggere tali temperature quindi se alcuni ospiti manifestano segni di insofferenza procedere con un aumento della temperatura di 3°C
Durata: 2-3 gironi in questo modo facilitiamo la formazione di anticorpi
Medicinale di marca in vasca di quarantena: Odinex della HW, Oodinowert della Sera, Marin Biocur della Onda, Pointex della AB.
Medicinale di marca in vasca con invertebrati o in presenza di rocce vive: Marin Oomed della Tetra, Exodin della AB, Rx-P della Kent (ATTENZIONE: prodotti da usare con cautela, seguire attentamente le istruzioni, alcuni invertebrati non li tollerano. Spesso non sono particolarmente efficaci).
Nota: in presenza di invertebrati è in stadi non avanzati ha dato buoni risultati l’utilizzo di Duplagan per acqua dolce (contiene molti più colloidi rispetto al Duplagan M per il marino) con dosaggio doppio a quello consigliato e contemporaneamente Duplavit nel cibo tutti i giorni.
L’unica controindicazione è che a causa dei colloidi lo schiumatoio produce quantitativi enormi di schiuma per almeno una-due settimane.
Flagellati branchiali
Note
Il fattore patogeno è il Cryptobia. Anche se il nome lascerebbe indicare una malattie delle sole branchie spesso colpisce anche la pelle dei pesci.
![]() | Parassita visto al microscopio |
Sintomi
Il pesce presenta in genere colorazione più scura di quella normale, problemi di respirazione che vanno dalla difficoltà a respirare alla respirazione accelerata, solita perdita di appetito con conseguente perdita di peso, aumento di volume delle mucose. Attenzione che infezione di batteri si possono sviluppare quando il pesce risulta ammalato.
Cure
Trattare con formaldeide/malachite verde o con formaldeide/rame pare risolvere il problema egregiamente. Bagni in acqua dolce e cure con antibatterici come nifurpirinol e furaltadone può aiutare a debellare la malattia. Ecco un elenco dettagliato:
Formaldeide-Malachite verde
Dose formaldeide 37%: 1 ml per 100 litri di acqua.
Dose Malachite verde: 1 ml di soluzione per 100 litri di acqua.
Soluzione Malachite verde: 5 grammi in 1 litro di acqua distillata.
Durata: 30-60 minuti – un ora
Formaldeide-Rame
Dose formaldeide 37%: 1 ml per 100 litri di acqua.
Dose Rame: 25 mg di soluzione per 100 litri di acqua.
Soluzione Rame: 4 grammi in 1 litro di acqua distillata con 0.25 grammi di acido citrico
Durata: 30-60 minuti
Note: non combinare mai con neomycin o sulfanomides.
Medicinale farmaceutico
Gabbrocol in vasca vuota e molto aerata dopo 18 ore intervengono problemi respiratori, sarebbe meglio dopo 12 ore trasferire il pesce in un’altra vasca dove si è preparata ancora la soluzione con il medicinale.
Dose 5 g sciolti i 30litri di acqua oppure se si è scelto di darlo per via orale, ma è possibile solo se il pesce si nutre ancora, 2 g disciolti in 100 g di mangime alla temperatura di 40°C da somministrare per 3 giorni fino alla scomparsa delle feci bianche.
Il cibo deve essere preparato in questo modo: due terzi di cuore di bue o comunque carne di manzo magra e un terzo di spinaci, questo preparato viene congelato in attesa di un suo utilizzo, sarebbe meglio suddividere il preparato in porzioni da 50 grammi l’una per un utilizzo migliore e più pratico.
Quando viene il momento della somministrazione del cibo e medicinale si scongela 50 grammi, ecco il motivo della divisione in porzioni da 50 grammi; a parte si scalda in un padella 50 ml di acqua con un po’ di brodo concentrato, quanto basta per insaporire un piatto di minestra, e si aggiunge un po’ di cibo che si somministra di solito ai pesci per dare più sapore al preparato finale.
Questa pappetta viene portata a 80°C e si mescola la parte scongelata con la soluzione un po’ pastosa acqua-brodo-cibo per pesci in modo tale che la temperatura non scenda molto, si lascia raffreddare lentamente e poi alla temperatura indicata, 40°C, si aggiunge il medicinale; in seguito si lascia raffreddare il tutto.
Il preparato si può conservare in frigorifero per un massimo di 5 giorni e deve avere una consistenza tale da poter essere ingerito senza problemi, quindi sminuzzare molto la carne e gli spinaci usando anche il trita carne o il mini pinner, al posto del cibo per pesci si può utilizzare agar-agar in quantità di 1 grammo disciolto nei 50 ml di acqua.
Flagellati intestinali
Note
Causato dal Spironucleus, Trichomonas, Bodomonas oppure dal Hexamita. Spesso si trovano nell’intestino e non creano danni.
In genere questa infezione colpisce soprattutto: Paracanthurus sp., Zebrasoma sp.,Acanthurus sp., Centropyge sp., Pomacanthus sp., Holcanthus sp. Zanclus cornutus. In genere appare nei pesci sottoposti a particolari tipi di stress molto forti.
![]() | Hexamita visto al microscopio |
![]() | Spironucleus e Trichomonas |
Sintomi
Difficili da individuare questi uniflagellati hanno il sopravvento se il pesce è stressato e se le condizioni dell’acqua non sono ottimali oppure troppo fredda. Il pesce perde appetito e di conseguenza peso, i sui escrementi diventano acquosi e simili a melma bianca. La loro livrea può cambiare colore diventando più scura e possono incominciare a nuotare irregolarmente.
La combinazione di questa malattia con altri fattori negativi possono prostrare e indebolire molto il pesce. All’inizio i parassiti stanno all’interno dell’intestino irritandolo e danneggiandone le pareti interne aumentando la produzione di mucosa e causa diarrea.
Cure
Come cura si può usare il Metronidazole in dose di 600-900 mg per litro di acqua dell’acquario per la durata di tre giorni, se i pesci mangiano ancora si può somministrarlo con il cibo; per combattere le infezioni secondarie si può usare il nifurpirinol e il nitrofurazone. Ecco un elenco completo di cure e dosi:
Metradinazole (Flagyl)
Dose: 600-800 mg per 100 litri di acqua.
Durata: tre giorni.
Medicinale farmaceutico
Gabbrocol in vasca vuota e molto aerata dopo 18 ore intervengono problemi respiratori, sarebbe meglio dopo 12 ore trasferire il pesce in un’altra vasca dove si è preparata ancora la soluzione con il medicinale.
Dose 5 g sciolti i 30 litri di acqua oppure se si è scelto di darlo per via orale, ma è possibile solo se il pesce si nutre ancora, 2 g disciolti in 100 g di mangime alla temperatura di 40°C da somministrare per 3 giorni fino alla scomparsa delle feci bianche.
Il cibo deve essere preparato in questo modo: due terzi di cuore di bue o comunque carne di manzo magra e un terzo di spinaci, questo preparato viene congelato in attesa di un suo utilizzo, sarebbe meglio suddividere il preparato in porzioni da 50 grammi l’una per un utilizzo migliore e più pratico.
Quando viene il momento della somministrazione del cibo e medicinale si scongela 50 grammi, ecco il motivo della divisione in porzioni da 50 grammi; a parte si scalda in un padella 50 ml di acqua con un po’ di brodo concentrato, quanto basta per insaporire un piatto di minestra, e si aggiunge un po’ di cibo che si somministra di solito ai pesci per dare più sapore al preparato finale.
Questa pappetta viene portata a 80°C e si mescola la parte scongelata con la soluzione un po’ pastosa acqua-brodo-cibo per pesci in modo tale che la temperatura non scenda molto, si lascia raffreddare lentamente e poi alla temperatura indicata, 40°C, si aggiunge il medicinale; in seguito si lascia raffreddare il tutto.
Il preparato si può conservare in frigorifero per un massimo di 5 giorni e deve avere una consistenza tale da poter essere ingerito senza problemi, quindi sminuzzare molto la carne e gli spinaci usando anche il trita carne o il mini pinner, al posto del cibo per pesci si può utilizzare agar-agar in quantità di 1 grammo disciolto nei 50 ml di acqua.
Cryptocarion irritans
Note
Causati dal Cryptocaryon irritans che è sempre presente latente nell’acquario. La malattia più frequente nei pesci tropicali. L’organismo unicellulare che causa questa malattia è cigliato.
Questa malattia prende piede soprattutto se si sono verificate delle condizioni particolarmente gravose come cambiamenti repentini dei valori dell’acqua causati magari dal malfunzionamento del sistema di refrigerazione o del termostato oppure più banalmente per il salto di corrente che ha interrotto l’alimentazione di tutti i sistemi dell’acquario.
Non sottovalutare neanche gli sbalzi di temperatura a cui è sottoposto un ambiente. Per l’ennesima volta è fondamentale tenere sotto stretto controllo i parametri dell’acqua : basso pH, aumenti di acidità, nitrati, nitriti, ammoniaca.
Un trattamento preventivo può essere fatto aggiungendo vitamina C nel cibo in quantità di 50 mg per 100 grammi di cibo.
Ciclo di vita
Il parassita cresciuto sul pesce si stacca quando è adulto e nuotando si cerca delle zone in cui non vi sia troppa corrente.
Trovato un appiglio si attacca e incomincia un nuovo ciclo di trasformazioni dopo essersi ricoperto di uno strato gelatinoso.
Il ciclo di trasformazione è una serie di divisioni che lo porterà dopo 8 al massimo 24 ore ad avere creato all’incirca1000 tomiti o poco meno.
Ad ogni divisione la cellula madre si divide in quattro figlie che a loro volta si dividono in altre quattro e così via; ogni tomita che si forma è un buon nuotatore e alla fine del ciclo di trasformazioni i tomiti incominciano a nuotare nella ricerca di un altro pesce ospite.
Per fortuna la loro autonomia è limitata alle 48 ore dopo di che se non hanno trovato ospiti perdono le loro forze e muoiono.
Invece se trovano un nuovo ospite vi penetrano dentro tra epidermide e derma dove incominciano la loro crescita per i seguenti 10 giorni, cioè fino a quando non avranno finito di assorbire tutte le sostanze nutritive che gli serviranno per la prossima divisione, dopo aver lasciato il pesce ospite.
Il ciclo vitale è influenzato dalla temperatura e dalla capacità del pesce di sapersi difendere; da qui si deduce che se il pesce è sano e forte il parassita avrà più difficoltà ad infettarlo infatti la fase di crescita nel pesce sarà più lunga.
Con la morte del pesce i parassiti lo abbandonano entro un ora in qualsiasi stadio si trovino: adesso rincominciano il loro ciclo di vita dal punto in cui eravamo partiti con la ricerca di acque tranquille.
C’è anche la possibilità di una riproduzione sessuale in questo caso si sviluppano dei parassiti che non vivono solo per 48 ore, ma per settimane.
![]() | Parassita visto al microscopio |
Sintomi
Il corpo del pesce si ricopre di puntini bianchi, essi ricoprono la pelle, le pinne e le branchie; all’inizio colpiscono solo una parte del corpo in seguito attaccano tutto il corpo. Accanto ai tipici puntini bianco vi sono anche altri sintomi che se osservati danno l’idea di cosa sta per succedere: occhi opachi, pinne sfrangiate, infezioni di batteri della pelle e delle pinne, zone di colore rosso o pallide; per ultimo se si registra una respirazione affannosa controllare che l’infezione non stia per partire dalle branchie.
![]() | Zebrasoma colpito da Cryptocarion |
![]() | Pagliaccio colpito da Cryptocarion |
Cure
Controllare la qualità dell’acqua e provvedere ad un ripristino dei valori ottimali, la soluzione migliore è combinare rame e formaldeide solo uno dei due porta a risultati molto minori e più scarsi, come al solito attenzione agli invertebrati che in nessun modo sopportano questa cura di rame.
Rame con Formaldeide
Si dividere il trattamento in due fasi: bagno e trattamento in vasca di quarantena.
Dose bagno: soluzione di rame, 4 mg, e formalina al 37%, 2.6 ml, in 10 litri di acqua.
Durata bagno: 1 ora.
Note: ogni 2 giorni ripetere il bagno, nel frattempo mantenere il pesce in vasca di quarantena con 0,2 mg. rame su 1 litro acqua.
Durata della cura: non procedere oltre i 10 giorni.
Rame con blu di metilene
Altra cura efficace è l’uso di soluzioni base combinate di solfato di rame 1 grammo, blu di metilene 2 grammi, e acido citrico 0.25 grammi, in un litro di acqua.
Dose: la dose consigliata in questi casi è 12.5 ml in 10 litri di acqua; si consiglia di mantenere una concentrazione di circa 0.15/0.2 mg/l di rame.
Durata: non procedere oltre i 10 giorni.
Bagno in acqua dolce
In casi non avanzati si possono anche trattare i pesci con un bagno in acqua dolce.
Procedura da seguire: preparare vasca con acqua dolce magari aggiungendo Methylene blu, prima si incomincia più si è sicuri che la cura possa avere effetto. Importante è che l’acqua dolce abbia lo stesso pH dell’acqua dell’acquario.
Durata: il bagno non deve durare più di 5 minuti.
Nel caso l’infezione sia scoperta tardi è consigliabile procedere anche a una cura contemporanea antibatterica con Linco-Spectin, furaltadone e nifurpirinol.
Si può anche usare Mepacrin e Atabrin , ma i risultati positivi devono ancora essere valutati.
Medicinale di marca in vasca di quarantena: Odinex della HW, Oodinowert della Sera, Marin Biocur della Onda, Pointex della AB.
Medicinale di marca in vasca con invertebrati o in presenza di rocce vive: Marin Oomed della Tetra, Exodin della AB, Rx-P della Kent (ATTENZIONE: prodotti da usare con cautela, seguire attentamente le istruzioni, alcuni invertebrati non li tollerano. Spesso non sono particolarmente efficaci).
Nota: in presenza di invertebrati è in stadi non avanzati ha dato buoni risultati l’utilizzo di Duplagan per acqua dolce (contiene molti più colloidi rispetto al Duplagan M per il marino) con dosaggio doppio a quello consigliato e contemporaneamente Duplavit nel cibo tutti i giorni.
L’unica controindicazione è che a causa dei colloidi lo schiumatoio produce quantitativi enormi di schiuma per almeno una-due settimane.
Uronema marinum
Note
L’Uronema marinum vive nell’acqua di mare e nei tessuti morti che si trovano sul fondo. Questo parassita si trova facilmente nei pesci più deboli soprattutto quelli che hanno subito un trasporto in condizioni veramente pietose. La malattia nel pesce debole non lascia scampo.
Pesci che hanno subito un trasporto di 24-48 ore in scarse condizioni con acqua inquinata, basso pH alta concentrazione di escrementi sono delle possibile vittime di questo parassita. Infatti esso attacca i tessuiti rovinati e incomincia a moltiplicarsi anche attaccando i tessuti più interni.
![]() | Parassita visto al microscopio |
Sintomi
I primi sintomi sono ulcere e puntini arrossati che lasciano pensare ad una infezione di batteri, però in questo caso il muco cresce enormemente sulle squame del pesce.
I pesci incominciano a sbattersi per tutto l’acquario, in seguito si formano delle macchie sempre più grosse che con il tempo ricoprono tutto il corpo e da adesso in poi ogni cura sarebbe inutile.
L’infezione può colpire anche le branchie e il pesce mostra problemi respiratori., a volte l’infezione può soffocare il pesce che non è più in grado di ricavare il necessario ossigeno per vivere dalla respirazione attraverso le branchie.
A volte si aggiungono anche questi sintomi: nuoto irregolare e circolare, stazionamento sul fondo, ricerca affannosa di aria sulla superficie, strusciamenti sul fondo della vasca.
Tutti questi movimenti anomali possono portare il pesce a ferirsi e di conseguenza all’insorgere di infezioni batteriologiche. A volte a occhio nudo si possono riconoscere nelle macchie sulla pelle e sulle pinne i piccoli, veloci e ovali parassiti
![]() | Chaetodon e pagliaccio colpiti da Uronema |
Cure
Fondamentale è intervenire in tempo non tanto per i pesci malati quanto per salvare quelli non ancora colpiti dalla malattia. Una cura efficiente può essere fatta con malachite verde da sola oppure in combinazione con formaldeide. Inoltre si possono usare brevi bagni in acqua dolce con lo stesso pH dell’acqua marina della durata di qualche minuto (3-10) e con l’aggiunta di blu di metilene oppure semplici bagni di acqua dolce seguiti da bagni in acqua marina con alta concentrazione di blu di metilene. Per curare infezioni batteriche si consiglia: nifurpirinol e furaltadone.
Formaldeide-Malachite verde
Dose formaldeide 37%: 1 ml per 100 litri di acqua.
Dose Malachite verde: 1 ml di soluzione per 100 litri di acqua.
Soluzione Malachite verde: 5 grammi in 1 litro di acqua distillata
Trichodina
Note
La trichodina è un cigliato peritrico dotato di ciglia solo sulla parte anteriore della cellula, i danni maggiori li provoca al pesce con il suo sistema di ancoraggio che può essere assimilato ad una ventosa. Esso trova terreno fertile per moltiplicarsi nei pesci trasportati o cresciuti in acquari con delle condizioni igieniche molto scarse; ecco le condizioni che facilitano l’insorgere dell’infezione : grandi quantità di residui organici disciolti, bassa temperatura, poco ossigeno disciolto, pH basso e troppa ammoniaca e nitrati.
![]() | Parassita visto al microscopio |
Sintomi
Nei pesci marini attacca per prima cosa le branchie e solo in seguito l’infezione colpisce tutto il corpo. Il primo sintomo è il problema delle respirazione seguito da danni alle branchie perdita di squame e macchie rosse, come altre volte ne risente anche il comportamento infatti il pesce incomincia a strusciare sul fondo, a nuotare in modo irregolare e a grattarsi contro i coralli o le rocce. L’infezione diventa pericolosa quando il pesce è colpito da più parassiti contemporaneamente.
Il pesce muore per la distruzione delle cellule delle branchie e per la perdita che ne segue di poter respirare.
Cure
Una cura fatta con Formaldeide in combinazione con malachite verde o con rame, anche se è meno frequente il suo uso, combatte il parassita, per batteri che potrebbero attaccare il pesce indebolito dalla malattia si possono usare i soliti antibatterici: nifurpirinol e furaltadone.
Ecco un elenco completo dei rimedi possibili:
Formaldeide-Rame
Dose formaldeide 37%: 1 ml per 100 litri di acqua.
Dose Rame: 25 mg di soluzione per 100 litri di acqua.
Soluzione Rame: 4 grammi in 1 litro di acqua distillata con 0.25 grammi di acido citrico
Note: non combinare mai con neomycin o sulfanomides.
Brooklynella hostilis
Note
Causato dal Brooklynella hostilis delle famiglia delle Dysteriidae, presenta un grosso numero di ciglia e si muove molto velocemente. La malattia può avere il sopravvento sul pesce per vari motivi comunque in genere per condizioni avverse nell’acquario che possono essere: cattiva qualità dell’acqua, lotte per il territorio o altro e una cattiva alimentazione, in questo modo il loro fisico è molto provato e a rischio di infezioni.
Il parassita si riproduce molto velocemente e questo crea molti problemi: la malattia può assumere il carattere di una epidemia.
![]() | Parassita visto al microscopio |
Trasmissione
Di solito entra in un acquario a causa di pesci infetti.
Sintomi
Inizia con piccole macchie sbiadite che poi si propagano e la pelle si stacca a brandelli. I pesci presentano occhi opachi, linee lungo il corpo scure e gelatinose, difficoltà respiratorie e problemi alle branchie.
I pesci colpiti o rimangono sul fondo o sulla superficie e sembra che annaspino nella ricerca disperata di aria, attenzione che questi sono i sintomi finali della malattia, ormai siamo in fase avanzata: all’inizio non si osservano particolari sintomi.
In seguito vi possono essere emorragie nelle branchie, macchie di colore rosso sul corpo, pinne sfilacciature o altro. In questi casi il destino del pesce è segnato la malattia sta per prendere o ha preso il sopravvento.
![]() | Dascillus colpito da Brooklynella |
Cure
Formaldeide o malachite verde danno degli ottimi risultati.
Per trattare le infezioni batteriche che si hanno come seconda conseguenza è utile usare Linco-Spictin, nifurpirinol, neomycin e sulfonamide. In questo come negli altri casi l’intervento tempestivo può a salvare il pesce.
Formaldeide 37%
Dose: 1 goccia in 4-5 litri di acqua oppure 1 ml in 100 litri di acqua.
Durata: 30 minuti
Malachite verde
Dose: soluzione base 5g per litro di acqua distillata, 1ml di soluzione base per 100 litri di acqua per il primo giorno e il secondo, 0.5 ml per 100 litri di acqua il terzo giorno e 0.25 ml di soluzione base per 100 litri di acqua il quarto giorno.
Durata: il trattamento non deve procedere oltre i dieci-quattordici giorni quel tanto che basta per uccidere tutti i parassiti.
Formaldeide-Malachite verde
Dose formaldeide 37%: 1 ml per 100 litri di acqua.
Dose Malachite verde: 1 ml di soluzione per 100 litri di acqua.
Soluzione Malachite verde: 5 grammi in 1 litro di acqua distillata
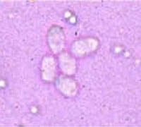
Sporozoi
Note
Questi parassiti si trovano negli organi interni dei pesci e posso anche non procurare danni per molto tempo.
![]() |
Parassiti visti al microscopio
Sintomi
Perdita di peso e deformazioni nel pesce. Questo parassita può procurare dei noduli di colore bianco nella pelle del pesce; in realtà questo capita raramente.
Cure
Non vi sono cure possibili se non una prevenzione che può essere ottenuta non portando a contatto esemplari ammalati con altri sani e usare dell’ottimo cibo che non sia infetto.
Introduzione | Diagnosi/Trattamento | Vasca di cura | Malattie | Medicinali
Virus | Batteri | Funghi | Protozoi | Vermi | Artropodi | Carenze vitaminiche













































































































































Ciao, ho il mio pesciolino rosso in quarantena da circa 5 gg lo avevo trovato con pancia gonfia, ora improvvisamente dov’è l’addome gonfio presenta sangue interno, penso ad un’emorragia. Ho notato che non ha defecato, mi avevano consigliato digiuno e pisellini cotti, che gli ho dato. Posso fare ancora qualcosa?? Help me, mi dispiace molto vederlo male, sta con me da 7 anni
Ciao, ti consiglio di aprire un nuovo post nell’area dedicata sul forum che trovi qui http://www.acquariofilia.biz/forumdisplay.php?f=8
Lì troverai qualcuno in grado da darti un consiglio!